Schmerzfrei zu einem neuen Lächeln

Strahlend weiße, gerade und
gesunde Zähne mit Veneers

Strahlend weiße, gerade und gesunde Zähne mit Veneers​

Verstecke nicht länger dein Lachen hinter deiner Hand. Erhalte dein Traumlächeln zurück!

Verstecke nicht länger dein Lachen hinter deiner Hand. Erhalte dein Traumlächeln zurück!​

ein unvergessliches Lächeln in kürzester Zeit

EIN UNVERGESSLICHES
LÄCHELN IN KÜRZESTER ZEIT

Erhalte mit Veneers dein Traumlächeln zurück

Veneers verbessern nicht nur das Aussehen deiner Zähne, sondern können auch bei abgenutzten Schneidekanten,
Zahnsubstanzverlust, kleinen Defekten oder leichten Fehlstellungen eine funktionell sinnvolle Lösung sein – für mehr
Lebensqualität und langfristige Zahngesundheit.

Erhalte mit Veneers dein
Traumlächeln zurück

Veneers – Die schnelle Lösung für ein ästhetisch & funktionell perfektes Lächeln

Veneers – Die schnelle Lösung für ein ästhetisch & funktionell perfektes Lächeln​

Ein gesundes und strahlendes Lächeln hängt nicht nur von Farbe und Form ab, sondern auch von der Funktion der Zähne. Wenn deine Zähne z. B. durch Abnutzung, kleine Defekte oder ungünstige Zahnformen beeinträchtigt sind, können Veneers eine passende Lösung sein. Die hauchdünnen Keramikschalen werden präzise auf deine Zähne aufgebracht – ganz ohne Schleifen – und tragen dazu bei, Ästhetik und Funktion gleichermaßen wiederherzustellen.

Warum No-Prep Veeners?

No-Prep Veneers sind eine der modernsten und schonendsten Methoden, um Zähne optisch zu verschönern und gleichzeitig kleine funktionelle Mängel wie abgenutzte Kanten oder Unebenheiten auszugleichen. Die hauchdünnen Keramikschalen werden mit minimalem Aufwand auf die Zahnoberfläche aufgebracht – ganz ohne Bohren oder Betäubung. Sie sind langlebig und sorgen für ein harmonisches, natürlich wirkendes Lächeln.

Die Vorteile von Veneers auf einen Blick:

  • Wieder lachen ohne Hemmungen!
  • Wiederherstellung von Funktion.
  • Lebensfreude zurück!
  • Natürliches, zahnfarbenes und ästhetisches Ergebnis
  • Minimal-invasive Behandlung, schonend für die Zähne
  • Schmerzfrei und ohne Betäubung
  • Perfekt natürliche und ästhetische Ergebnisse
  • Ein Lächeln, das du stolz zeigen kannst!

Der erste Schritt zu deinem neuen Lächeln

Der erste Schritt zu
deinem neuen Lächeln

Schmerzfrei zu geraden, gesunden und einfach schönen Zähnen

Schmerzfrei zu geraden, gesunden
und einfach schönen Zähnen

Wann kommen Veneers infrage?

Wann kommen
Veneers infrage?

Verfärbungen der Zähne

Trotz Bleaching bleiben Zähne oft dunkel oder fleckig. Veneers bieten eine langfristige Lösung für ein strahlendes, weißes Lächeln.

Bei Zahnschäden

Zahnlücken, abgebrochene Ecken oder ungleichmäßige Zahnkanten können nicht nur das Gesamtbild stören, sondern auch die Funktion beeinträchtigen – z. B. beim Sprechen oder Kauen.

Bei schiefen Zähnen

Wenn eine kieferorthopädische Behandlung nicht notwendig ist, können Veneers ungleichmäßige, abgeknirschte oder zu kurze Zähne optisch begradigen.

Ästhetische Wünsche

Wenn Sie sich ein attraktiveres Lächeln wünschen, sind Veneers ideal, um Ihre Zähne individuell anzupassen. Dank Mock-up und Wax-up können Sie die neuen Zähne vorab probetragen.

Warum No-Prep Veneers statt herkömmliche?

Herkömmliche Veneers

No-Prep Veneers

Warum No-Prep Veneers statt herkömmliche?

Herkömmliche Veneers

No-Prep Veneers

Deine Vorteile von Veneers

Deine Vorteile
von Veneers

Natürliches Aussehen

Veneers wirken besonders natürlich, da sie individuell angefertigt und perfekt in die Zahnreihe integriert werden. Das Keramikmaterial reflektiert Licht ähnlich wie echter Zahnschmelz, wodurch sie kaum von echten Zähnen zu unterscheiden sind – selbst bei einer sehr hellen Zahnfarbe bleibt das Lächeln authentisch.

Minimalinvasiv & funktionserhaltend

Die Vorbereitung der Zähne für Veneers erfordert in der Regel nur minimalen Substanzabtrag – die natürliche Zahnstruktur bleibt weitgehend erhalten. Das macht die Behandlung besonders schonend und eignet sich auch bei leichten Zahnschäden oder Abnutzungen, bei denen keine aufwändigere Versorgung nötig ist. Gleichzeitig entsteht ein harmonisches, ästhetisches Gesamtbild.

Lebensqualität zurück

Verstecken Sie Ihr Lächeln nicht länger hinter Ihrer Hand, ob bei einem Treffen mit Freunden oder einem wichtigen Geschäftstermin. Mit Veneers können Sie endlich frei und selbstbewusst lächeln. Fühlen Sie sich wieder wohl und gelangen Sie Ihr Selbstbewusstsein zurück.

Langlebig und schnell

Die Behandlung mit Veneers ist schnell und effizient – oft genügen wenige Sitzungen, um das gewünschte Lächeln zu erreichen. Gleichzeitig überzeugen Veneers durch ihre Langlebigkeit: Bei guter Pflege halten Keramik-Veneers mehrere Jahrzehnte, da sie widerstandsfähig gegen Abnutzung und Brüche sind.

Der erste Schritt zu einem neuen Lebensgefühl.

Der erste Schritt zu
Ihrem neuen Ich!

Patienten berichten über ihre Veneers-Behandlung

Patienten berichten über ihre
Veneers-Behandlung

Fachlich und menschlich stark

Deine Experten für Veneers in Oberursel

Deine Experten für
Veneers in Oberursel

Dr. Christoph Dettler & Dr. Nina Dettler

Die besten No-Prep Veneers von der Nummer 1 in Europa

Die besten No-Prep
Veneers von der Nummer
1 in Europa

Seit über 20 Jahren arbeiten wir eng mit Dental Design Reichert in Hamburg zusammen – einem der führenden Labore Europas im Bereich Veneers. Diese langjährige Partnerschaft steht nicht nur für höchste Präzision und Qualität, sondern auch für das Zusammenspiel von Ästhetik und Funktion. Unsere erfahrenen Zahntechniker begleiten dich persönlich durch den gesamten Prozess und sorgen dafür, dass dein neues Lächeln nicht nur natürlich schön wirkt, sondern sich auch funktional stimmig in dein Kausystem einfügt – für ein Ergebnis, das begeistert und langfristig überzeugt.

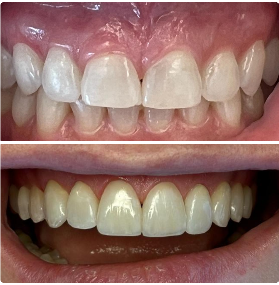
Wunderbare Ergebnisse, die für Dr. Dettler sprechen

Wunderbare Ergebnisse, die für Dr. Dettler sprechen

Selbstvertrauen
und Lebensqualität

Ein strahlendes Lächeln steht für Selbstbewusstsein und Lebensqualität – das zeigt sich im Alltag ebenso wie im Beruf. Doch abgenutzte Schneidekanten, kleine Frakturen oder unregelmäßige Zahnformen können nicht nur optisch stören, sondern auch funktionell beeinträchtigen – etwa beim Kauen oder Sprechen. Mit unseren Veneers korrigieren wir solche Defizite schonend und schmerzfrei und schaffen ein natürlich wirkendes Lächeln, das sowohl ästhetisch als auch funktional überzeugt – und auf das du stolz sein kannst.

Wie viel kosten Veneers?

Die Investition einer Veneer-Behandlung ist so individuell wie unsere Patienten. Verschiedene Faktoren spielen bei der Berechnung eine Rolle, und in manchen Fällen übernimmt die Krankenkasse einen Teil der Kosten. Wenn Ihre Zähne beispielsweise stärkere Schäden aufweisen, können Veneers zur Wiederherstellung dienen.

Natürlich besprechen wir im Vorfeld alle anfallenden Kosten mit Ihnen und erstellen einen detaillierten Kostenvoranschlag, an den wir uns halten.

Damit Ihre Mundgesundheit nicht von den Versicherungsbedingungen abhängt – bieten wir Ihnen verschiedene Finanzierungsmöglichkeiten an, die von vielen unserer Patienten in Anspruch genommen werden.

Jetzt unverbindlichen Termin vereinbaren

Welche Veneer-Behandlung am besten zu dir passt, erfährst du bei uns in einem persönlichen Beratungsgespräch. Wir sind die Experten für Veneers in Oberursel.

Wenn auch du endlich dein Traumlächeln mit weißen und geraden Zähnen möchtest, vereinbare im ersten Schritt deine unverbindliche telefonische Erstberatung.

Wenn auch du endlich dein Traumlächeln mit weißen und geraden Zähnen möchtest, vereinbare im ersten Schritt deine unverbindliche telefonische Erstberatung.

Hinweis: Eine Behandlung mit Veneers kann nicht nur aus ästhetischen Gründen erfolgen, sondern auch medizinisch sinnvoll sein – etwa bei Zahnschäden, Abnutzung, funktionellen Einschränkungen oder Formanomalien. Ob eine Versorgung medizinisch indiziert ist, wird im persönlichen Beratungsgespräch individuell geklärt.